予防医療推進
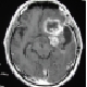
うむやす脳ドック
うむやす脳ドック
1988年、MRI(磁気共鳴映像)を用いて「脳ドック」が世界に先駆けてはじまり、その数年後、MRA(磁気共鳴血管撮影)が機器の進化と普及とに相まって多くの施設で行われるようになり「脳ドック」の幕開けとなりました。現在、日本で脳ドックと銘打ってドックを行っている施設は数知れずあり、その多くが当然のことながら都市部に集中しています。
当院の脳ドックは、日本脳ドック学会から提示された新ガイドラインに沿った脳ドックです。使用機器は、閉所恐怖症の方も、お子さんも、苦になく利用して頂けるように、オープン型のMRIを導入しています。(実は、私も閉所恐怖なので、是非ともこの島には入れたかったのです。) その他の機器も、内地の脳ドックと遜色がないようにできる限り配慮したものを導入しました。
とにかく、島嶼(とうしょ)地区*と呼ばれる医療過疎の島でも、こんな事ができるんだと思われる仕事がしたくてはじめました。よろしくご利用下さい。
*島嶼:大小さまざまな島のことを意味し,かつて離島と呼ばれた地区を現在島嶼地区と呼ぶことになりました。知ってましたか?
特定健診・企業健診・労災2次健診・産業医
減圧症・ダイバー健診
減圧症・ダイバー健診
詳細
プロフェッショナルダイバーはじめ、レジャーダイバーの皆さん、今日も安全(うむやす)に、気持ちよく(みゃあす)潜っていますか?この島には、高気圧酸素治療用の第一種治療装置が一台稼働していますが、一人用の装置なのでその治療には限界があります。ルールを守って節度ある潜水を楽しんで下さい。当診療所は、高気圧治療管理医がいるDAN JAPAN協力診療所です。減圧症の講習会も行っています.希望の方はご連絡ください。
活動記録
What's New
|
2012.04.01
|
特定健診が始まっています
。予約は不要です。昨年受けていいない人は、今年は受けてくださいよ。
|
|---|
んではじまる宮古島

診療所ホーム
詳細
詳細